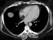
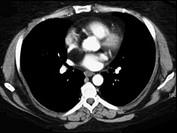
女性,40岁,活动后心慌一年余,彩超发现左心房有异常回声,CT检查如图所示,应考虑为 ( )A、正常左心房B、左心房脂肪瘤C、左心房血栓 ...

作者: rantiku 人气: - 评论: 0
问题 女性,40岁,活动后心慌一年余,彩超发现左心房有异常回声,CT检查如图所示,应考虑为 ( )
选项 A、正常左心房 B、左心房脂肪瘤 C、左心房血栓 D、左心房脂肪浸润 E、左心房黏液瘤
答案 B
解析

猜你喜欢

发表评论
更多 网友评论0 条评论)
暂无评论

访问排行

Copyright © 2012-2014 恰考网 Inc. 保留所有权利。 Powered by tikuer.com

页面耗时0.0476秒, 内存占用1.03 MB, Cache:redis,访问数据库17次