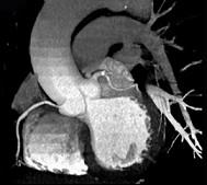
上面一组图像考虑为 ( )A、左前降支钙化B、左旋支钙化C、正常的左前降支D、右侧冠状动脉钙化E、正常的右侧冠状动脉

作者: rantiku 人气: - 评论: 0
问题 上面一组图像考虑为 ( )
选项 A、左前降支钙化 B、左旋支钙化 C、正常的左前降支 D、右侧冠状动脉钙化 E、正常的右侧冠状动脉
答案 A
解析

猜你喜欢

发表评论
更多 网友评论0 条评论)
暂无评论

访问排行

Copyright © 2012-2014 恰考网 Inc. 保留所有权利。 Powered by tikuer.com

页面耗时0.0337秒, 内存占用1.02 MB, Cache:redis,访问数据库14次