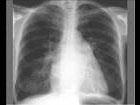
女,21岁,反复关节红肿疼痛5年,活动后心悸气促1天入院。查:梨形心界,心率88次/分,律齐,心尖区舒张期隆隆样杂音,P亢进;Hb88g/L;胸片结果如图...

作者: rantiku 人气: - 评论: 0
问题 女,21岁,反复关节红肿疼痛5年,活动后心悸气促1天入院。查:梨形心界,心率88次/分,律齐,心尖区舒张期隆隆样杂音,P亢进;Hb88g/L;胸片结果如图所示。可诊断为 ( )
选项 A、冠心病 B、Austin-Flint杂音 C、贫血 D、风心病、二尖瓣狭窄 E、左房粘液瘤
答案 D
解析

猜你喜欢

发表评论
更多 网友评论0 条评论)
暂无评论

访问排行

Copyright © 2012-2014 恰考网 Inc. 保留所有权利。 Powered by tikuer.com

页面耗时0.0497秒, 内存占用1.03 MB, Cache:redis,访问数据库19次