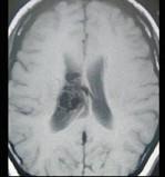
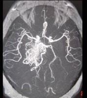
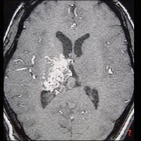
女性,40岁,头晕、头痛两年余,MR检查如图所示,请选择的最可能诊断 ( )A、毛细血管扩张症B、动脉瘤C、动静脉畸形D、毛细血管...

作者: rantiku 人气: - 评论: 0
问题 女性,40岁,头晕、头痛两年余,MR检查如图所示,请选择的最可能诊断 ( )
选项 A、毛细血管扩张症 B、动脉瘤 C、动静脉畸形 D、毛细血管瘤 E、海绵状血管瘤
答案 C
解析

猜你喜欢

发表评论
更多 网友评论0 条评论)
暂无评论

访问排行

Copyright © 2012-2014 恰考网 Inc. 保留所有权利。 Powered by tikuer.com

页面耗时0.0360秒, 内存占用1.03 MB, Cache:redis,访问数据库20次