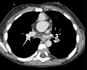
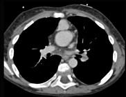
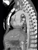
患者,男性,8岁,发绀、气促,易感冒,彩超提示只见一个心室,CT检查如图所示,请选择正确的选项 ( )A、考虑三尖瓣狭窄B、右前斜位示...

作者: rantiku 人气: - 评论: 0
问题 患者,男性,8岁,发绀、气促,易感冒,彩超提示只见一个心室,CT检查如图所示,请选择正确的选项 ( )
选项 A、考虑三尖瓣狭窄 B、右前斜位示左心房增大,心后上缘后突压迫冲钡食管 C、左前斜位示心影向后下方突出 D、考虑二尖瓣狭窄
答案 BCD
解析

猜你喜欢

发表评论
更多 网友评论0 条评论)
暂无评论
错误啦!

错误信息

  • 消息: [程序异常] : MISCONF Redis is configured to save RDB snapshots, but it's currently unable to persist to disk. Commands that may modify the data set are disabled, because this instance is configured to report errors during writes if RDB snapshotting fails (stop-writes-on-bgsave-error option). Please check the Redis logs for details about the RDB error.
  • 文件: /twcms/kongphp/cache/cache_redis.class.php
  • 位置: 第 85 行
    <?php echo 'KongPHP, Road to Jane.'; ?>