35岁男性患者,一个月前开始间歇性发热,咳嗽、咳痰,足部肿胀,伴颈静脉怒张,行X线、CT检查如图所示,请选择正确的答案 ( )A、考虑原发性心...

作者: rantiku 人气: - 评论: 0
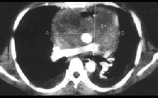
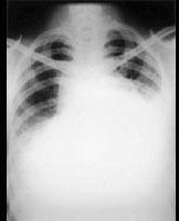
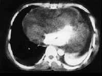
问题 35岁男性患者,一个月前开始间歇性发热,咳嗽、咳痰,足部肿胀,伴颈静脉怒张,行X线、CT检查如图所示,请选择正确的答案 ( )
选项 A、考虑原发性心包间皮瘤 B、考虑为心包炎 C、CT示示心包内见软组织肿块影 D、CT示心包弥漫性增厚,未见钙化影 E、X线示心影增大
答案 ACDE
解析

猜你喜欢

发表评论
更多 网友评论0 条评论)
暂无评论
错误啦!

错误信息

  • 消息: [程序异常] : MISCONF Redis is configured to save RDB snapshots, but it's currently unable to persist to disk. Commands that may modify the data set are disabled, because this instance is configured to report errors during writes if RDB snapshotting fails (stop-writes-on-bgsave-error option). Please check the Redis logs for details about the RDB error.
  • 文件: /twcms/kongphp/cache/cache_redis.class.php
  • 位置: 第 85 行
    <?php echo 'KongPHP, Road to Jane.'; ?>