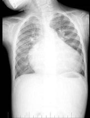
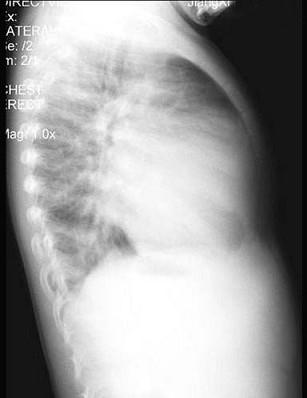
男性,1岁零8个月,生长发育差,易患呼吸道感染,心悸气促,行心脏正、侧位片检查如图所示,正确的描述和结论是 ( )A、房间隔缺损B、室间隔缺损...

作者: rantiku 人气: - 评论: 0
问题 男性,1岁零8个月,生长发育差,易患呼吸道感染,心悸气促,行心脏正、侧位片检查如图所示,正确的描述和结论是 ( )
选项 A、房间隔缺损 B、室间隔缺损 C、肺纹理增多 D、侧位示心前间隙变窄,心后食管前三角间隙消失 E、正位示心影向两侧扩大,心尖左移
答案 BCDE
解析

猜你喜欢

发表评论
更多 网友评论0 条评论)
暂无评论

访问排行

Copyright © 2012-2014 恰考网 Inc. 保留所有权利。 Powered by tikuer.com

页面耗时0.0383秒, 内存占用1.03 MB, Cache:redis,访问数据库20次