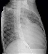
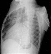
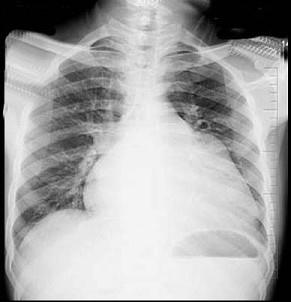
56岁男性患者,劳累后心慌气促10余年,近来自觉症状加重。临床听诊,心尖区有舒张期隆隆样杂音,行胸部X检查,如图所示,你认为下列描述正确的是 ( ) ...

作者: rantiku 人气: - 评论: 0
问题 56岁男性患者,劳累后心慌气促10余年,近来自觉症状加重。临床听诊,心尖区有舒张期隆隆样杂音,行胸部X检查,如图所示,你认为下列描述正确的是 ( )
选项 A、考虑三尖瓣狭窄 B、考虑二尖瓣狭窄 C、右前斜位示左心房增大,心后上缘后突压迫冲钡食管 D、左前斜位示心影向后下方突出 E、后前位示双侧肺血增多,肺动脉段隆起,左心缘出现第3弓
答案 BCDE
解析

猜你喜欢

发表评论
更多 网友评论0 条评论)
暂无评论

访问排行

Copyright © 2012-2014 恰考网 Inc. 保留所有权利。 Powered by tikuer.com

页面耗时0.0690秒, 内存占用1.03 MB, Cache:redis,访问数据库19次