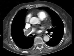
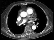
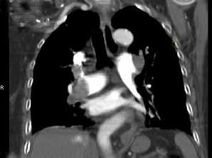
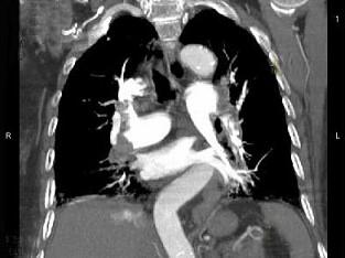
82岁,女性,突发右侧胸痛,呼吸急促,行急诊CT检查,如图所示,请选择最佳答案 ( )A、肺动脉栓塞B、肺动脉瘤C、肺门淋巴结肿大...

作者: rantiku 人气: - 评论: 0
问题 82岁,女性,突发右侧胸痛,呼吸急促,行急诊CT检查,如图所示,请选择最佳答案 ( )
选项 A、肺动脉栓塞 B、肺动脉瘤 C、肺门淋巴结肿大 D、肺动静脉瘘 E、中央型肺癌
答案 A
解析

猜你喜欢

发表评论
更多 网友评论0 条评论)
暂无评论
错误啦!

错误信息

  • 消息: [程序异常] : MISCONF Redis is configured to save RDB snapshots, but it's currently unable to persist to disk. Commands that may modify the data set are disabled, because this instance is configured to report errors during writes if RDB snapshotting fails (stop-writes-on-bgsave-error option). Please check the Redis logs for details about the RDB error.
  • 文件: /twcms/kongphp/cache/cache_redis.class.php
  • 位置: 第 85 行
    <?php echo 'KongPHP, Road to Jane.'; ?>