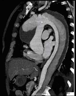
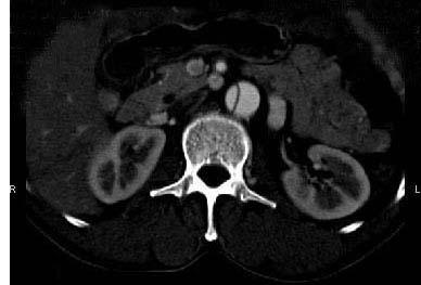
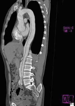
请看一组主动脉的CT增强图像,正确的描述和结论是 ( )A、真腔较假腔小B、真假腔之间线状低密度影为内膜片影C、主动脉瘤D、主...

作者: rantiku 人气: - 评论: 0
问题 请看一组主动脉的CT增强图像,正确的描述和结论是 ( )
选项 A、真腔较假腔小 B、真假腔之间线状低密度影为内膜片影 C、主动脉瘤 D、主动脉夹层 E、主动脉血栓
答案 ABD
解析

猜你喜欢

发表评论
更多 网友评论0 条评论)
暂无评论

访问排行

Copyright © 2012-2014 恰考网 Inc. 保留所有权利。 Powered by tikuer.com

页面耗时0.0633秒, 内存占用1.03 MB, Cache:redis,访问数据库13次