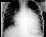
男,24岁,反复胸闷气短4年,近1周加重,端坐时即感胸闷,伴咳嗽、下肢水肿,肝脏肿大。超声心动图示心脏扩大,室壁变薄,EF值20%,二尖瓣、三尖瓣中度反流...

作者: rantiku 人气: - 评论: 0
问题 男,24岁,反复胸闷气短4年,近1周加重,端坐时即感胸闷,伴咳嗽、下肢水肿,肝脏肿大。超声心动图示心脏扩大,室壁变薄,EF值20%,二尖瓣、三尖瓣中度反流。胸片如图所示。 可能的诊断是 ( )
选项 A、心肌炎 B、扩张型心肌病 C、先天性心脏病 D、肺心病 E、风湿性心脏病二尖瓣关闭不全
答案 B
解析

猜你喜欢

发表评论
更多 网友评论0 条评论)
暂无评论

访问排行

Copyright © 2012-2014 恰考网 Inc. 保留所有权利。 Powered by tikuer.com

页面耗时0.0446秒, 内存占用1.03 MB, Cache:redis,访问数据库13次