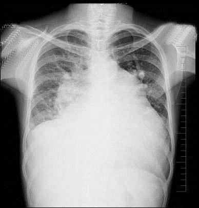
47岁女性患者,诊断风湿性二尖瓣狭窄3年余,近来呼吸困难,咳泡沫痰,拍胸部正位片如图所示,下列关于肺部描述和结论正确的是 ( )A、肺野透亮度减低...

作者: rantiku 人气: - 评论: 0
问题 47岁女性患者,诊断风湿性二尖瓣狭窄3年余,近来呼吸困难,咳泡沫痰,拍胸部正位片如图所示,下列关于肺部描述和结论正确的是 ( )
选项 A、肺野透亮度减低 B、考虑肺淤血 C、双侧上下肺静脉比例倒置 D、肺门影模糊 E、双侧肺纹理增强
答案 ABCDE
解析

猜你喜欢

发表评论
更多 网友评论0 条评论)
暂无评论

访问排行

Copyright © 2012-2014 恰考网 Inc. 保留所有权利。 Powered by tikuer.com

页面耗时0.0330秒, 内存占用1.03 MB, Cache:redis,访问数据库18次