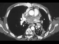
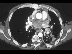
男,45岁,咳嗽,咯血2月余,有20余年吸烟史,请结合影像学检查图,选出最可能的诊断 ( )A、肺囊肿B、肺错构瘤C、小细胞肺癌D、肺...

作者: rantiku 人气: - 评论: 0
问题 男,45岁,咳嗽,咯血2月余,有20余年吸烟史,请结合影像学检查图,选出最可能的诊断 ( )
选项 A、肺囊肿 B、肺错构瘤 C、小细胞肺癌 D、肺脓肿 E、肺结核
答案 C
解析

猜你喜欢

发表评论
更多 网友评论0 条评论)
暂无评论

访问排行

Copyright © 2012-2014 恰考网 Inc. 保留所有权利。 Powered by tikuer.com

页面耗时0.0383秒, 内存占用1.03 MB, Cache:redis,访问数据库20次