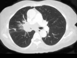
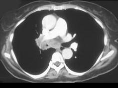
男,56岁,咳嗽,咯血1月余,有吸烟史30余年,结合CT检查选出最可能的诊断 ( )A、肺错构瘤B、中央型肺癌C、肺炎D、结节病E...

作者: rantiku 人气: - 评论: 0
问题 男,56岁,咳嗽,咯血1月余,有吸烟史30余年,结合CT检查选出最可能的诊断 ( )
选项 A、肺错构瘤 B、中央型肺癌 C、肺炎 D、结节病 E、肺结核
答案 B
解析

猜你喜欢

发表评论
更多 网友评论0 条评论)
暂无评论

访问排行

Copyright © 2012-2014 恰考网 Inc. 保留所有权利。 Powered by tikuer.com

页面耗时0.0392秒, 内存占用1.03 MB, Cache:redis,访问数据库19次