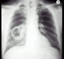
男,54岁,咳嗽,伴胸痛两周,午后有低热,出汗较以前增多,胸片如图,最可能的诊断是 ( )A、肺癌B、肺大疱C、结核空洞D、韦格氏肉芽肿 ...

作者: rantiku 人气: - 评论: 0
问题 男,54岁,咳嗽,伴胸痛两周,午后有低热,出汗较以前增多,胸片如图,最可能的诊断是 ( )
选项 A、肺癌 B、肺大疱 C、结核空洞 D、韦格氏肉芽肿 E、肺脓肿
答案 A
解析

猜你喜欢

发表评论
更多 网友评论0 条评论)
暂无评论

访问排行

Copyright © 2012-2014 恰考网 Inc. 保留所有权利。 Powered by tikuer.com

页面耗时0.0554秒, 内存占用1.03 MB, Cache:redis,访问数据库15次