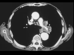
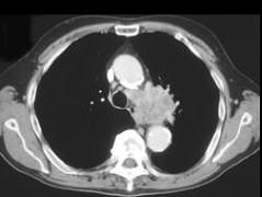
男,59岁,咳嗽,咳痰,痰中带血2月余,CT检查如图,请选出最可能的诊断 ( )A、肺炎B、肺错构瘤C、中央型肺癌D、矽肺E、肺结核

作者: rantiku 人气: - 评论: 0
问题 男,59岁,咳嗽,咳痰,痰中带血2月余,CT检查如图,请选出最可能的诊断 ( )
选项 A、肺炎 B、肺错构瘤 C、中央型肺癌 D、矽肺 E、肺结核
答案 C
解析

猜你喜欢

发表评论
更多 网友评论0 条评论)
暂无评论

访问排行

Copyright © 2012-2014 恰考网 Inc. 保留所有权利。 Powered by tikuer.com

页面耗时0.0463秒, 内存占用1.03 MB, Cache:redis,访问数据库20次