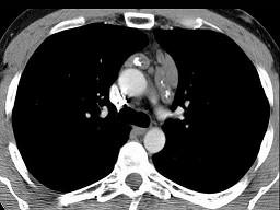
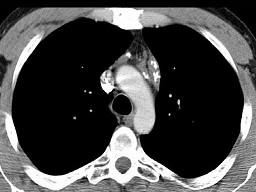
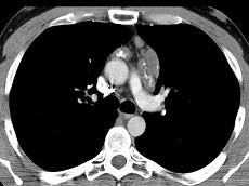
21岁,女,颈部淋巴结肿大,无压痛,请结合CT检查选出最可能的诊断 ( )A、转移性淋巴结肿大B、间皮囊肿C、淋巴结核D、结节病 ...

作者: rantiku 人气: - 评论: 0
问题 21岁,女,颈部淋巴结肿大,无压痛,请结合CT检查选出最可能的诊断 ( )
选项 A、转移性淋巴结肿大 B、间皮囊肿 C、淋巴结核 D、结节病 E、淋巴瘤
答案 E
解析

猜你喜欢

发表评论
更多 网友评论0 条评论)
暂无评论

访问排行

Copyright © 2012-2014 恰考网 Inc. 保留所有权利。 Powered by tikuer.com

页面耗时0.0375秒, 内存占用1.03 MB, Cache:redis,访问数据库20次