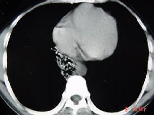
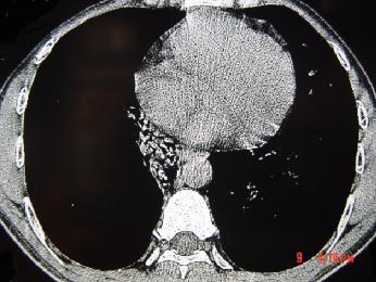
男,26岁,肺部感染后反复咳嗽咳痰一月,CT检查如图,最可能的诊断为 ( )A、支气管扩张并感染B、肺癌C、右下肺隔离症并感染D、...

作者: rantiku 人气: - 评论: 0
问题 男,26岁,肺部感染后反复咳嗽咳痰一月,CT检查如图,最可能的诊断为 ( )
选项 A、支气管扩张并感染 B、肺癌 C、右下肺隔离症并感染 D、肺部感染 E、支气管囊肿并感染
答案 C
解析

猜你喜欢

发表评论
更多 网友评论0 条评论)
暂无评论

访问排行

Copyright © 2012-2014 恰考网 Inc. 保留所有权利。 Powered by tikuer.com

页面耗时0.0366秒, 内存占用1.02 MB, Cache:redis,访问数据库14次