男,42岁,肝区痛一月余,最近二周咯血丝痰,胸部CT如图,最可能的诊断为 ( )A、肺转移瘤B、韦格肉芽肿C、过敏性肺炎D、结节病...

作者: rantiku 人气: - 评论: 0
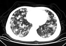
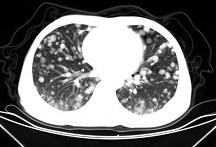
问题 男,42岁,肝区痛一月余,最近二周咯血丝痰,胸部CT如图,最可能的诊断为 ( )
选项 A、肺转移瘤 B、韦格肉芽肿 C、过敏性肺炎 D、结节病 E、葡萄球菌肺炎
答案 A
解析

猜你喜欢

发表评论
更多 网友评论0 条评论)
暂无评论

访问排行

Copyright © 2012-2014 恰考网 Inc. 保留所有权利。 Powered by tikuer.com

页面耗时0.0364秒, 内存占用1.03 MB, Cache:redis,访问数据库15次