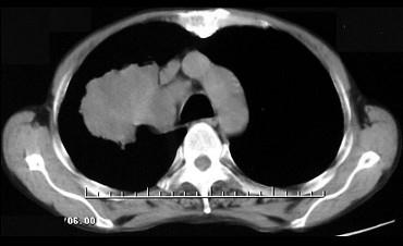
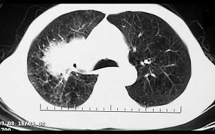
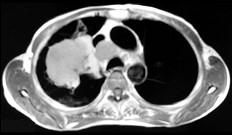
男,68岁,右侧胸痛伴右上臂麻木一周,胸部CT、MRI扫描如图,最可能的诊断为 ( )A、右上肺中央型肺癌并右上肺不张,纵隔淋巴转移B...

作者: rantiku 人气: - 评论: 0
问题 男,68岁,右侧胸痛伴右上臂麻木一周,胸部CT、MRI扫描如图,最可能的诊断为 ( )
选项 A、右上肺中央型肺癌并右上肺不张,纵隔淋巴转移 B、右上肺周围型肺癌并纵隔淋巴转移 C、右上肺肉瘤并纵隔淋巴转移 D、右上肺不张 E、右上肺硬化性血管瘤
答案 A
解析

猜你喜欢

发表评论
更多 网友评论0 条评论)
暂无评论

访问排行

Copyright © 2012-2014 恰考网 Inc. 保留所有权利。 Powered by tikuer.com

页面耗时0.0348秒, 内存占用1.03 MB, Cache:redis,访问数据库19次