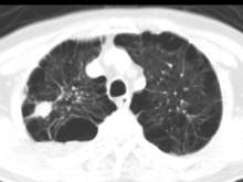
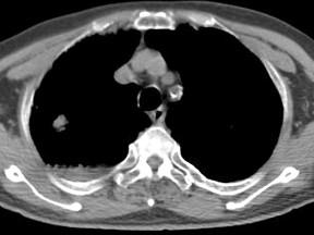
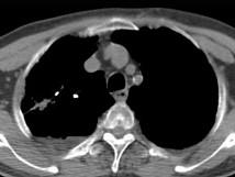
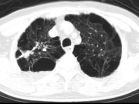
男,76岁,气喘数年,胸痛一月余,结合影像图像,选择最可能的诊断 ( )A、右上肺错构瘤B、右上肺肉瘤C、肺间质纤维化D、右上...

作者: rantiku 人气: - 评论: 0
问题 男,76岁,气喘数年,胸痛一月余,结合影像图像,选择最可能的诊断 ( )
选项 A、右上肺错构瘤 B、右上肺肉瘤 C、肺间质纤维化 D、右上肺瘢痕癌 E、右上肺结核球
答案 D
解析

猜你喜欢

发表评论
更多 网友评论0 条评论)
暂无评论

访问排行

Copyright © 2012-2014 恰考网 Inc. 保留所有权利。 Powered by tikuer.com

页面耗时0.0400秒, 内存占用1.03 MB, Cache:redis,访问数据库17次