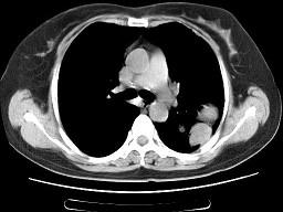
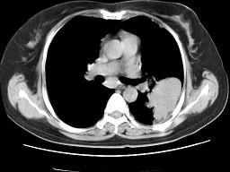
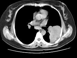
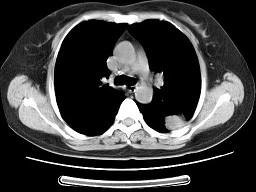
女,52岁,左侧背痛一月,胸部CT如图,最可能的诊断为 ( )A、左肺炎性假瘤B、肺隔离征C、左肺周围型肺癌D、左肺感染E...

作者: rantiku 人气: - 评论: 0
问题 女,52岁,左侧背痛一月,胸部CT如图,最可能的诊断为 ( )
选项 A、左肺炎性假瘤 B、肺隔离征 C、左肺周围型肺癌 D、左肺感染 E、左肺中央型肺癌
答案 A
解析

猜你喜欢

发表评论
更多 网友评论0 条评论)
暂无评论
错误啦!

错误信息

  • 消息: [程序异常] : MISCONF Redis is configured to save RDB snapshots, but it's currently unable to persist to disk. Commands that may modify the data set are disabled, because this instance is configured to report errors during writes if RDB snapshotting fails (stop-writes-on-bgsave-error option). Please check the Redis logs for details about the RDB error.
  • 文件: /twcms/kongphp/cache/cache_redis.class.php
  • 位置: 第 85 行
    <?php echo 'KongPHP, Road to Jane.'; ?>