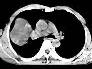
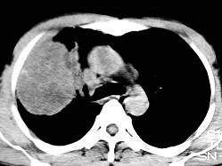
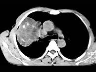
根据所提供的图像,选择最可能的诊断 ( )A、机化性肺炎B、局限性不张C、胸膜间皮瘤D、球形肺炎E、肺内软骨肉瘤

作者: rantiku 人气: - 评论: 0
问题 根据所提供的图像,选择最可能的诊断 ( )
选项 A、机化性肺炎 B、局限性不张 C、胸膜间皮瘤 D、球形肺炎 E、肺内软骨肉瘤
答案 E
解析

猜你喜欢

发表评论
更多 网友评论0 条评论)
暂无评论

访问排行

Copyright © 2012-2014 恰考网 Inc. 保留所有权利。 Powered by tikuer.com

页面耗时0.0371秒, 内存占用1.03 MB, Cache:redis,访问数据库17次