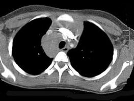
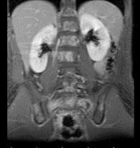
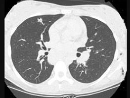
7岁,男,发热、消瘦,数月前触及颈部淋巴结肿大,CT和MR检查如图,请选择最可能的诊断 ( )A、转移性淋巴肿大B、胸腺瘤C、结节...

作者: rantiku 人气: - 评论: 0
问题 7岁,男,发热、消瘦,数月前触及颈部淋巴结肿大,CT和MR检查如图,请选择最可能的诊断 ( )
选项 A、转移性淋巴肿大 B、胸腺瘤 C、结节病 D、淋巴结核 E、淋巴瘤
答案 E
解析

猜你喜欢

发表评论
更多 网友评论0 条评论)
暂无评论

访问排行

Copyright © 2012-2014 恰考网 Inc. 保留所有权利。 Powered by tikuer.com

页面耗时0.0412秒, 内存占用1.03 MB, Cache:redis,访问数据库19次