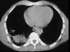
男,31岁,车祸后10小时余,请结合影像学检查,选出最可能的诊断 ( )A、矽肺B、大叶性肺炎C、肺结核D、气胸伴肺挫伤E、肺癌

作者: rantiku 人气: - 评论: 0
问题 男,31岁,车祸后10小时余,请结合影像学检查,选出最可能的诊断 ( )
选项 A、矽肺 B、大叶性肺炎 C、肺结核 D、气胸伴肺挫伤 E、肺癌
答案 D
解析

猜你喜欢

发表评论
更多 网友评论0 条评论)
暂无评论

访问排行

Copyright © 2012-2014 恰考网 Inc. 保留所有权利。 Powered by tikuer.com

页面耗时0.0394秒, 内存占用1.03 MB, Cache:redis,访问数据库15次