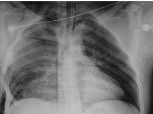
男,20岁,因车祸压伤右前胸引起胸痛、呼吸困难,前胸有一块胸壁软化区,并见反常呼吸运动,X线片如图。急救措施应首先选择 ( )A、内固定B、给氧 ...

作者: rantiku 人气: - 评论: 0
问题 男,20岁,因车祸压伤右前胸引起胸痛、呼吸困难,前胸有一块胸壁软化区,并见反常呼吸运动,X线片如图。急救措施应首先选择 ( )
选项 A、内固定 B、给氧 C、输液、输血 D、加压包扎固定 E、镇静止痛
答案 D
解析

猜你喜欢

发表评论
更多 网友评论0 条评论)
暂无评论

访问排行

Copyright © 2012-2014 恰考网 Inc. 保留所有权利。 Powered by tikuer.com

页面耗时0.0394秒, 内存占用1.03 MB, Cache:redis,访问数据库20次