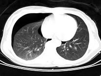
男,35岁,胸部外伤,CT图像如图,最可能的诊断为 ( )A、右侧液气胸B、右侧脓胸C、畸胎瘤D、右侧气胸E、支气管囊肿并感染

作者: rantiku 人气: - 评论: 0
问题 男,35岁,胸部外伤,CT图像如图,最可能的诊断为 ( )
选项 A、右侧液气胸 B、右侧脓胸 C、畸胎瘤 D、右侧气胸 E、支气管囊肿并感染
答案 D
解析

猜你喜欢

发表评论
更多 网友评论0 条评论)
暂无评论

访问排行

Copyright © 2012-2014 恰考网 Inc. 保留所有权利。 Powered by tikuer.com

页面耗时0.0378秒, 内存占用1.02 MB, Cache:redis,访问数据库14次