男,32岁,被车撞伤后1小时,请结合影像图像选择其最可能的诊断为 ( )A、右侧肺大疱并皮下纵隔气肿B、支气管断裂C、右肺不张...

作者: rantiku 人气: - 评论: 0
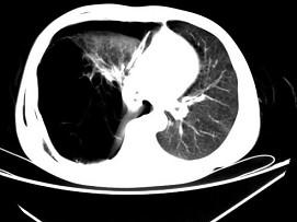
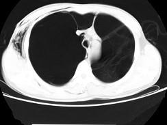
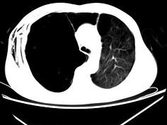
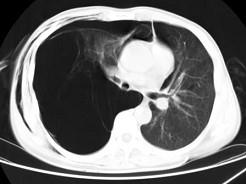
问题 男,32岁,被车撞伤后1小时,请结合影像图像选择其最可能的诊断为 ( )
选项 A、右侧肺大疱并皮下纵隔气肿 B、支气管断裂 C、右肺不张 D、右侧气胸并皮下纵隔气肿 E、右侧气胸
答案 D
解析

猜你喜欢

发表评论
更多 网友评论0 条评论)
暂无评论

访问排行

Copyright © 2012-2014 恰考网 Inc. 保留所有权利。 Powered by tikuer.com

页面耗时0.0347秒, 内存占用1.03 MB, Cache:redis,访问数据库18次