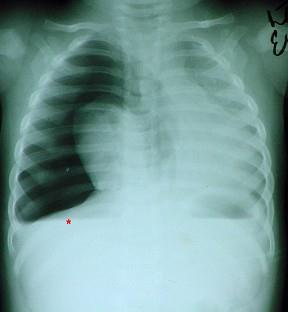
患者,男性,3岁,因车祸伤半小时,急诊来院。患者呼吸极度困难,口唇发绀,烦躁不安。右侧胸部饱满肋间隙增宽,颈部胸部广泛皮下气肿。听诊右侧呼吸者消失,胸片检...

作者: rantiku 人气: - 评论: 0
问题 患者,男性,3岁,因车祸伤半小时,急诊来院。患者呼吸极度困难,口唇发绀,烦躁不安。右侧胸部饱满肋间隙增宽,颈部胸部广泛皮下气肿。听诊右侧呼吸者消失,胸片检查如图。最可能的诊断 ( )
选项 A、创伤性窒息 B、肺爆震伤 C、血胸 D、张力性气胸 E、单纯性气胸
答案 D
解析
发表评论
更多 网友评论0 条评论)
暂无评论

访问排行

Copyright © 2012-2014 恰考网 Inc. 保留所有权利。 Powered by tikuer.com

页面耗时0.0425秒, 内存占用1.03 MB, Cache:redis,访问数据库20次