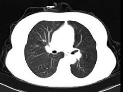
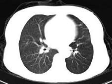
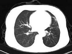
男,45岁,外伤后行CT检查如图,最可能的诊断为 ( )A、肺大疱B、支气管囊肿并感染C、左主支气管断裂D、畸胎瘤E、支气管肺炎

作者: rantiku 人气: - 评论: 0
问题 男,45岁,外伤后行CT检查如图,最可能的诊断为 ( )
选项 A、肺大疱 B、支气管囊肿并感染 C、左主支气管断裂 D、畸胎瘤 E、支气管肺炎
答案 C
解析

猜你喜欢

发表评论
更多 网友评论0 条评论)
暂无评论

访问排行

Copyright © 2012-2014 恰考网 Inc. 保留所有权利。 Powered by tikuer.com

页面耗时0.0721秒, 内存占用1.03 MB, Cache:redis,访问数据库19次