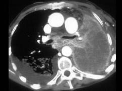
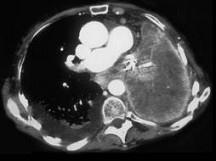
男,68岁,咳嗽,咯血2月余,有40余年吸烟史,请结合影像学检查,选出最可能的诊断 ( )A、肺脓肿B、纵隔畸胎瘤C、肺癌D、肺结核 ...

作者: rantiku 人气: - 评论: 0
问题 男,68岁,咳嗽,咯血2月余,有40余年吸烟史,请结合影像学检查,选出最可能的诊断 ( )
选项 A、肺脓肿 B、纵隔畸胎瘤 C、肺癌 D、肺结核 E、肺囊肿
答案 C
解析

猜你喜欢

发表评论
更多 网友评论0 条评论)
暂无评论

访问排行

Copyright © 2012-2014 恰考网 Inc. 保留所有权利。 Powered by tikuer.com

页面耗时0.0344秒, 内存占用1.03 MB, Cache:redis,访问数据库20次