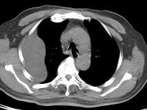
男,28岁,胸闷一周,胸部CT如图,最可能的诊断为 ( )A、肺炎性假瘤B、肺肉瘤C、肺癌D、包裹性积液E、间皮瘤

作者: rantiku 人气: - 评论: 0
问题 男,28岁,胸闷一周,胸部CT如图,最可能的诊断为 ( )
选项 A、肺炎性假瘤 B、肺肉瘤 C、肺癌 D、包裹性积液 E、间皮瘤
答案 D
解析

猜你喜欢

发表评论
更多 网友评论0 条评论)
暂无评论

访问排行

Copyright © 2012-2014 恰考网 Inc. 保留所有权利。 Powered by tikuer.com

页面耗时0.0359秒, 内存占用1.03 MB, Cache:redis,访问数据库20次