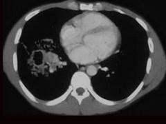
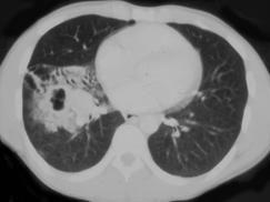
男,42岁,高热,寒战,咳嗽,胸痛1周左右,CT检查如图,选择最可能的诊断 ( )A、肺脓肿B、肺转移瘤C、肺癌D、肺囊肿E、肺结核

作者: rantiku 人气: - 评论: 0
问题 男,42岁,高热,寒战,咳嗽,胸痛1周左右,CT检查如图,选择最可能的诊断 ( )
选项 A、肺脓肿 B、肺转移瘤 C、肺癌 D、肺囊肿 E、肺结核
答案 A
解析

猜你喜欢

发表评论
更多 网友评论0 条评论)
暂无评论

访问排行

Copyright © 2012-2014 恰考网 Inc. 保留所有权利。 Powered by tikuer.com

页面耗时0.1054秒, 内存占用1.03 MB, Cache:redis,访问数据库20次