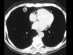
女,71岁,咳嗽,咳痰,胸部隐痛2月余,请结合影像学检查图,选出最可能的诊断 ( )A、结节病B、肺转移瘤C、肺结核D、肺错构瘤E、肺癌

作者: rantiku 人气: - 评论: 0
问题 女,71岁,咳嗽,咳痰,胸部隐痛2月余,请结合影像学检查图,选出最可能的诊断 ( )
选项 A、结节病 B、肺转移瘤 C、肺结核 D、肺错构瘤 E、肺癌
答案 D
解析

猜你喜欢

发表评论
更多 网友评论0 条评论)
暂无评论

访问排行

Copyright © 2012-2014 恰考网 Inc. 保留所有权利。 Powered by tikuer.com

页面耗时0.0612秒, 内存占用1.03 MB, Cache:redis,访问数据库15次