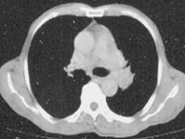
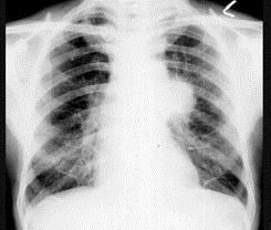
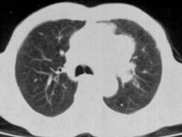
60岁,男,有长期抽烟史,左声带麻痹、声音嘶哑2个月,请结合胸片和CT图.选出最可能的诊断 ( )A、肺炎B、肺结节病C、肺结核 ...

作者: rantiku 人气: - 评论: 0
问题 60岁,男,有长期抽烟史,左声带麻痹、声音嘶哑2个月,请结合胸片和CT图.选出最可能的诊断 ( )
选项 A、肺炎 B、肺结节病 C、肺结核 D、尘肺 E、肺癌
答案 E
解析

猜你喜欢

发表评论
更多 网友评论0 条评论)
暂无评论

访问排行

Copyright © 2012-2014 恰考网 Inc. 保留所有权利。 Powered by tikuer.com

页面耗时0.0328秒, 内存占用1.03 MB, Cache:redis,访问数据库19次