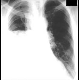
女性,36岁,2个月前突然发热、咽痛、咳嗽、少量黄痰,经消炎治疗不见好转,一个月前,咳嗽加剧,并有呼吸困难,经两次胸穿抽出脓液300ml,症状不见好转,胸...

作者: rantiku 人气: - 评论: 0
问题 女性,36岁,2个月前突然发热、咽痛、咳嗽、少量黄痰,经消炎治疗不见好转,一个月前,咳嗽加剧,并有呼吸困难,经两次胸穿抽出脓液300ml,症状不见好转,胸片如图,提示右侧胸腔有一液平,现应采取的治疗方法 ( )
选项 A、腋中线第7肋间闭式引流 B、腋前线第9肋间闭式引流 C、锁骨中线第2肋间闭式引流 D、胸穿排脓 E、消炎吸氧,输血补液
答案 A
解析

猜你喜欢

发表评论
更多 网友评论0 条评论)
暂无评论

访问排行

Copyright © 2012-2014 恰考网 Inc. 保留所有权利。 Powered by tikuer.com

页面耗时0.0538秒, 内存占用1.03 MB, Cache:redis,访问数据库18次