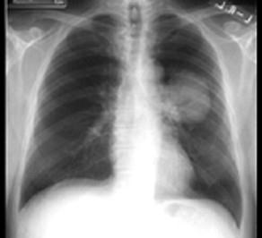
胸片如图所示,这种典型的X线征象以下列哪种疾病可能性最大 ( )A、肺部良性肿瘤B、支气管扩张C、中心型肺癌D、肺结核E、周围型肺癌

作者: rantiku 人气: - 评论: 0
问题 胸片如图所示,这种典型的X线征象以下列哪种疾病可能性最大 ( )
选项 A、肺部良性肿瘤 B、支气管扩张 C、中心型肺癌 D、肺结核 E、周围型肺癌
答案 C
解析

猜你喜欢

发表评论
更多 网友评论0 条评论)
暂无评论

访问排行

Copyright © 2012-2014 恰考网 Inc. 保留所有权利。 Powered by tikuer.com

页面耗时0.0424秒, 内存占用1.03 MB, Cache:redis,访问数据库19次