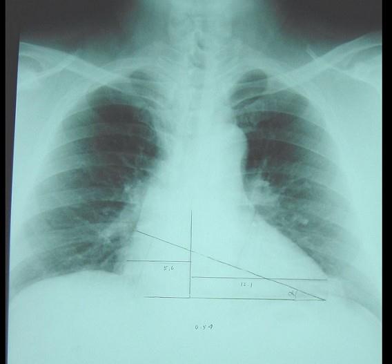
此心脏正位片描述正确的是 ( )A、“普大型”心脏B、“二尖瓣型”心脏C、“中间型”心脏D、“横位型”心脏E、“主动脉瓣型”心脏

作者: rantiku 人气: - 评论: 0
问题 此心脏正位片描述正确的是 ( )
选项 A、“普大型”心脏 B、“二尖瓣型”心脏 C、“中间型”心脏 D、“横位型”心脏 E、“主动脉瓣型”心脏
答案 D
解析

猜你喜欢

发表评论
更多 网友评论0 条评论)
暂无评论

访问排行

Copyright © 2012-2014 恰考网 Inc. 保留所有权利。 Powered by tikuer.com

页面耗时0.0495秒, 内存占用1.03 MB, Cache:redis,访问数据库13次