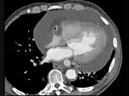
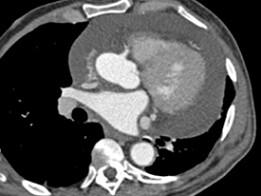
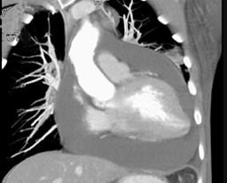
男,28岁,胸闷气急,伴干咳,查体见颈静脉显露,CT如图,最可能的诊断为 ( )A、贫血性心脏病B、心包转移瘤C、心包积液D、心肌...

作者: rantiku 人气: - 评论: 0
问题 男,28岁,胸闷气急,伴干咳,查体见颈静脉显露,CT如图,最可能的诊断为 ( )
选项 A、贫血性心脏病 B、心包转移瘤 C、心包积液 D、心肌炎 E、心包肥厚
答案 C
解析

猜你喜欢

发表评论
更多 网友评论0 条评论)
暂无评论

访问排行

Copyright © 2012-2014 恰考网 Inc. 保留所有权利。 Powered by tikuer.com

页面耗时0.0383秒, 内存占用1.03 MB, Cache:redis,访问数据库19次