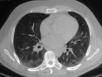
患者因反复咳浓臭痰2年入院,胸部CT如图所示,最有可能的诊断是 ( )A、肺癌B、以上均不正确C、肺结核D、支气管扩张E、脓胸

作者: rantiku 人气: - 评论: 0
问题 患者因反复咳浓臭痰2年入院,胸部CT如图所示,最有可能的诊断是 ( )
选项 A、肺癌 B、以上均不正确 C、肺结核 D、支气管扩张 E、脓胸
答案 D
解析

猜你喜欢

发表评论
更多 网友评论0 条评论)
暂无评论

访问排行

Copyright © 2012-2014 恰考网 Inc. 保留所有权利。 Powered by tikuer.com

页面耗时0.0377秒, 内存占用1.03 MB, Cache:redis,访问数据库20次