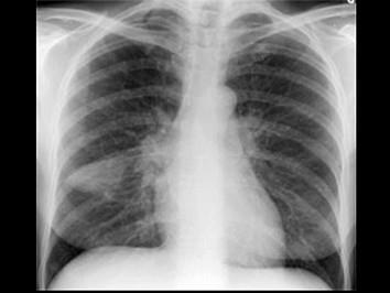
女性,52岁,因四肢关节疼痛、肢端肥大2个月,经各种治疗无缓解。X线胸片如图。支纤镜检查阴性。最可能的诊断是 ( )A、肺脓肿B、以上均不是C...

作者: rantiku 人气: - 评论: 0
问题 女性,52岁,因四肢关节疼痛、肢端肥大2个月,经各种治疗无缓解。X线胸片如图。支纤镜检查阴性。最可能的诊断是 ( )
选项 A、肺脓肿 B、以上均不是 C、肺炎合并肢端肥大症 D、肺癌 E、肺结核合并风湿性关节炎
答案 D
解析

猜你喜欢

发表评论
更多 网友评论0 条评论)
暂无评论

访问排行

Copyright © 2012-2014 恰考网 Inc. 保留所有权利。 Powered by tikuer.com

页面耗时0.0498秒, 内存占用1.03 MB, Cache:redis,访问数据库20次