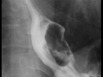
女,32岁,进食后胸骨后疼痛及间歇吞咽困难2年,食管吞钡如图所示,最可能的诊断是 ( )A、腐蚀性食管灼伤B、食管裂孔疝C、贲门失弛缓症D...

作者: rantiku 人气: - 评论: 0
问题 女,32岁,进食后胸骨后疼痛及间歇吞咽困难2年,食管吞钡如图所示,最可能的诊断是 ( )
选项 A、腐蚀性食管灼伤 B、食管裂孔疝 C、贲门失弛缓症 D、食管癌 E、食管平滑肌瘤
答案 E
解析

猜你喜欢

发表评论
更多 网友评论0 条评论)
暂无评论

访问排行

Copyright © 2012-2014 恰考网 Inc. 保留所有权利。 Powered by tikuer.com

页面耗时0.0382秒, 内存占用1.03 MB, Cache:redis,访问数据库20次