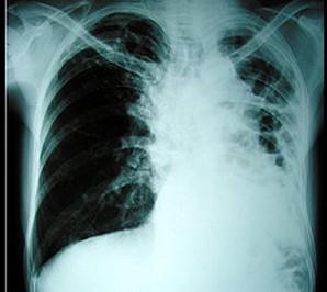
患者因咳嗽、胸痛、乏力入院,体检时发现左肺呼吸音减弱,X线胸片如图所示,诊断为 ( )A、肺癌B、以上均不正确C、自发性气胸D、肺结核...

作者: rantiku 人气: - 评论: 0
问题 患者因咳嗽、胸痛、乏力入院,体检时发现左肺呼吸音减弱,X线胸片如图所示,诊断为 ( )
选项 A、肺癌 B、以上均不正确 C、自发性气胸 D、肺结核 E、支气管扩张
答案 D
解析

猜你喜欢

发表评论
更多 网友评论0 条评论)
暂无评论

访问排行

Copyright © 2012-2014 恰考网 Inc. 保留所有权利。 Powered by tikuer.com

页面耗时0.0672秒, 内存占用1.03 MB, Cache:redis,访问数据库20次