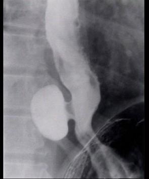
女性患者,30岁,自觉胸骨后疼痛,时常嗝逆,可闻及恶臭,入院行X线钡餐检查,结果如图所示,应诊断为 ( )A、食管憩室B、贲门癌C、贲门失弛缓...

作者: rantiku 人气: - 评论: 0
问题 女性患者,30岁,自觉胸骨后疼痛,时常嗝逆,可闻及恶臭,入院行X线钡餐检查,结果如图所示,应诊断为 ( )
选项 A、食管憩室 B、贲门癌 C、贲门失弛缓症 D、食管癌 E、食管平滑肌瘤
答案 A
解析

猜你喜欢

发表评论
更多 网友评论0 条评论)
暂无评论

访问排行

Copyright © 2012-2014 恰考网 Inc. 保留所有权利。 Powered by tikuer.com

页面耗时0.0675秒, 内存占用1.03 MB, Cache:redis,访问数据库19次