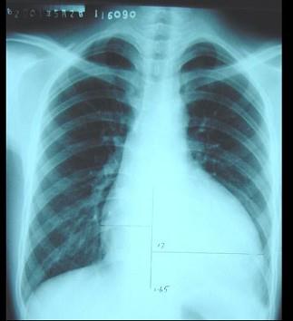
男性,17岁,检查发现心脏杂音四年,活动时心慌、气促三年。血压130/20mmHg,主动脉瓣区舒张期杂音,心脏正位片如图所示,该患者最可能是何种心脏病 (...

作者: rantiku 人气: - 评论: 0
问题 男性,17岁,检查发现心脏杂音四年,活动时心慌、气促三年。血压130/20mmHg,主动脉瓣区舒张期杂音,心脏正位片如图所示,该患者最可能是何种心脏病 ( )
选项 A、主动脉瓣关闭不全 B、三尖瓣关闭不全 C、主动脉瓣狭窄 D、二尖瓣关闭不全 E、二尖瓣狭窄
答案 A
解析

猜你喜欢

发表评论
更多 网友评论0 条评论)
暂无评论

访问排行

Copyright © 2012-2014 恰考网 Inc. 保留所有权利。 Powered by tikuer.com

页面耗时0.0428秒, 内存占用1.03 MB, Cache:redis,访问数据库20次