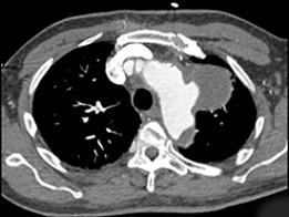
男,50岁,胸背剧痛一周余,CT如图,最可能的诊断是 ( )A、左上肺癌并侵犯主动脉弓部B、纵隔肿瘤C、主动脉弓假性动脉瘤D、主动脉弓夹层...

作者: rantiku 人气: - 评论: 0
问题 男,50岁,胸背剧痛一周余,CT如图,最可能的诊断是 ( )
选项 A、左上肺癌并侵犯主动脉弓部 B、纵隔肿瘤 C、主动脉弓假性动脉瘤 D、主动脉弓夹层动脉瘤 E、主动脉弓真性动脉瘤
答案 C
解析

猜你喜欢

发表评论
更多 网友评论0 条评论)
暂无评论

访问排行

Copyright © 2012-2014 恰考网 Inc. 保留所有权利。 Powered by tikuer.com

页面耗时0.0456秒, 内存占用1.03 MB, Cache:redis,访问数据库20次