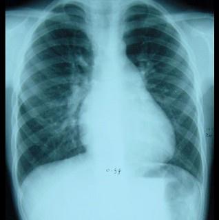
男性,8岁,生后发现心脏杂音,位于胸骨左缘第二肋间,为Ⅲ/6级收缩期杂音,P2亢进,心电图提示不完全性右束支传导阻滞,于前天拍摄心脏正位片,如图所示,下面...

作者: rantiku 人气: - 评论: 0
问题 男性,8岁,生后发现心脏杂音,位于胸骨左缘第二肋间,为Ⅲ/6级收缩期杂音,P2亢进,心电图提示不完全性右束支传导阻滞,于前天拍摄心脏正位片,如图所示,下面对心脏片描述正确的是 ( )
选项 A、肺血少,肺动脉段凸出 B、以上均错 C、肺血多,肺动脉段凸出 D、肺血少,主动脉结凸出 E、肺血多,主动脉结凸出
答案 C
解析

猜你喜欢

发表评论
更多 网友评论0 条评论)
暂无评论

访问排行

Copyright © 2012-2014 恰考网 Inc. 保留所有权利。 Powered by tikuer.com

页面耗时0.0489秒, 内存占用1.03 MB, Cache:redis,访问数据库19次