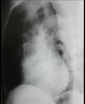
对如下心脏左侧位片描述正确的是 ( )A、正常心脏B、以上均错C、左心房Ⅱ度增大D、右心室增大E、左心室增大

作者: rantiku 人气: - 评论: 0
问题 对如下心脏左侧位片描述正确的是 ( )
选项 A、正常心脏 B、以上均错 C、左心房Ⅱ度增大 D、右心室增大 E、左心室增大
答案 E
解析

猜你喜欢

发表评论
更多 网友评论0 条评论)
暂无评论

访问排行

Copyright © 2012-2014 恰考网 Inc. 保留所有权利。 Powered by tikuer.com

页面耗时0.0372秒, 内存占用1.03 MB, Cache:redis,访问数据库20次