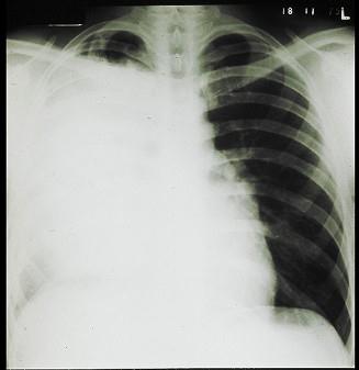
男,62岁,刺激性咳嗽,痰血2个月,近两周来呼吸困难,半年前体检X线胸片未见明显异常。查体:气管右移,右胸廓下陷,叩实,可闻管状呼吸音,心界右移。X线胸片...

作者: rantiku 人气: - 评论: 0
问题 男,62岁,刺激性咳嗽,痰血2个月,近两周来呼吸困难,半年前体检X线胸片未见明显异常。查体:气管右移,右胸廓下陷,叩实,可闻管状呼吸音,心界右移。X线胸片如图所示: 假设:纤维支气管镜活检找到肿瘤细胞,不可能是下列哪种细胞类型 ( )
选项 A、大细胞癌 B、乳头状瘤 C、小细胞癌 D、腺癌 E、鳞癌
答案 B
解析

猜你喜欢

发表评论
更多 网友评论0 条评论)
暂无评论

访问排行

Copyright © 2012-2014 恰考网 Inc. 保留所有权利。 Powered by tikuer.com

页面耗时0.0305秒, 内存占用1.02 MB, Cache:redis,访问数据库14次