男,60岁,右肩及右上肢持续疼痛2个月,需服用止痛药,无明显咳嗽,咯血,呼吸困难,检查右锁骨上未及淋巴结,颈静脉怒张,气管不偏移,右瞳孔缩小,眼睑下垂,右...

作者: rantiku 人气: - 评论: 0
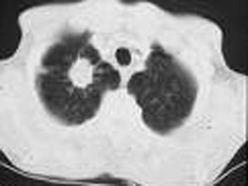
问题 男,60岁,右肩及右上肢持续疼痛2个月,需服用止痛药,无明显咳嗽,咯血,呼吸困难,检查右锁骨上未及淋巴结,颈静脉怒张,气管不偏移,右瞳孔缩小,眼睑下垂,右面部无汗,胸部CT如图所示,肋骨未见明显破坏,上纵隔淋巴结肿大1.5cm,临床诊断为Pancoast综合征。 根据TNM分期,应属于 ( )
选项 A、TNM B、TNM C、TNM D、TNM E、TNM
答案 A
解析

猜你喜欢

发表评论
更多 网友评论0 条评论)
暂无评论

访问排行

Copyright © 2012-2014 恰考网 Inc. 保留所有权利。 Powered by tikuer.com

页面耗时0.0547秒, 内存占用1.03 MB, Cache:redis,访问数据库14次